- Специализация: Стоматолог терапевт, хирург.
- Стаж работы: 20 лет.
- Образование: Луганский медицинский университет, 2005
«Максим Александрович ,замечательный доктор !Профессионал своего дела,очень терпиливый и внимательный на все приёмы хожу с большим удовольствием !»
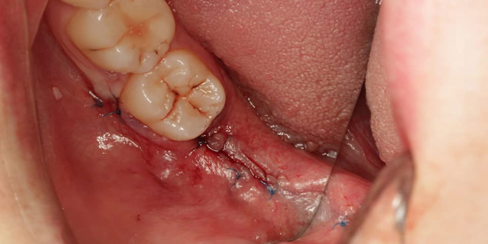
Удаление зуба мудрости сообщающегося с нижнечелюстным каналом: фотографии до и после.
ФотографииДо
После
Удаление ретинированого зуба 4.8 сообщающегося с нижнечелюстным каналом.
Услуги:
Хирургия, Консультация хирурга, Удаление зуба мудрости, Сложное удаление, Удаление ретинированного зуба.
Этапы лечения
У Вас похожий случай?
Гордийчук Максим Александрович имеет опыт в решении подобных клинических случаев более 20 лет, в своей работе использует фотопротокол, позволяющий повысить качество и контролировать все этапы лечения.
Клиника, где работает врач
Здоровая улыбка ярче любой драгоценности!
5.0
Луганск, ул. Советская, 193
+380 (50) 131-27-20
пн-пт 09:00 - 20:00;сб-вс выходной
Читать отзывы
Врачи
4
До и после
Великолепные специалисты гарантируют Вам безболезненное и эффективное лечение, обеспечат максимальный комфорт и высокий уровень сервиса.
